![]()
안녕하세요 여러분 L2치과의원을 대표하는 의료기기의학과 치주과의사 최순호입니다. 동시에 제 블로그(https://blog.naver.com/sunnyflow/222327872364)를 통해 치아가 갈라지는(크랙치아) 다양한 사례들을 소개해드렸습니다.
![]()
부러진 치아 – 확인 가능한 Q-Ray 진단으로 어금니 갈라짐을 방지합니다. 4월도 거의 끝나가네요! ! L2… blog.naver.com
![]()
금이가는 치아(균열, 금이 간 치아)는 저희 병원에서 정기적으로 큐레이라는 형광투시장치를 이용하여 모든 환자를 대상으로 진단검사를 시행하기 때문에 더 잘 진단될 수 있으며 이와 관련된 사례들을 많이 말씀드릴 수 있을 것 같습니다.
![]()
오늘은 작은 어금니 부위의 씹는 통증 때문에 저희 병원을 찾아오신 환자분의 사례인데요, 이전에 치근 치료를 받았던 작은 어금니 부위는 치아 머리부터 뿌리까지 깊은 균열(균열)이 있었습니다. 근관 치료 및 크라운 치료 . 무수히 많은 치아를 뽑고 임플란트를 식립한 사례입니다.
![]()
지난 포스팅을 통해 치아파절(치아파절, 치아파절) 치료방법에 대한 치료계획을 소개해드렸습니다. https://blog.naver.com/sunnyflow/222153717237
![]()
금이 간 치아. 갈라진 치아를 크라운으로 치료하는 이유는 무엇입니까? 오늘은 치아 갈라짐 = 치아 갈라짐 발생… blog.naver.com
![]()
치아에 금이 가면 치아가 옆으로 열리는 힘으로 씹을 때 통증을 유발할 수 있습니다. 씹을 때 통증의 원인은 치아가 벌어지는 힘이기 때문에 먼저 치관으로 치료하고 치관이 이를 막지 못하는 경우 신경치료를 시도할 수 있다.
![]()
신경과 및 크라운 치료 후에도 여전히 아프다면 치아 균열이 너무 깊어 치아를 발치해야한다고 판단 할 수 있습니다.
![]()
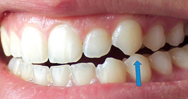
큰어금니와 작은어금니의 갈라진 치아 모습에는 차이가 있는데, 큰어금니의 갈라진 치아는 대부분 “기능적 팁” 쪽, 즉 치아에서 더 큰 스트레스를 받는 부분에서 발생합니다. (아래 포스팅 참조) https://blog.naver.com/sunnyflow/222654941394 Q-ray 촬영으로 어금니 크랙(균열)을 미리 확인하고 대비할 수 있습니다. 닥터&치주과의사 최순호 입니다 오늘은 어금니 중문으로 가는데… blog.naver.com 물론 기능교두의 기능교두는 작은 어금니에도 크랙이 생기는 경우가 많은데, 치아가 부러지는 원인. 음식을 씹을 때 위아래로 씹지 말고 나란히 씹는다. 이것을 치과 용어로 “Lateral Guidance”라고 하는데 위 사진에서 색종이(교합용지)를 찍으면 치아에 가해지는 힘이 화살표 방향으로 퍼지는 것을 볼 수 있습니다. 다시 케이스로 돌아가서 왼쪽 위 어금니가 이전에 근관치료와 크라운 치료를 받았고 씹을 때 불편하다고 하셨습니다. X-레이를 보면 치근/크라운 치료를 받은 어금니 주변에 어두운 그림자가 보일 것입니다. 뼈가 녹으면서 “J자 모양”이 되고 X-레이에서 보이는 이러한 방사선학적 변화는 종종 치아의 깊은 층에 균열이 있음을 나타냅니다(크라운 뿌리 균열, 뿌리 균열 = 치근. 갈라진 치아). 측방 구강 내부에서 송곳니가 곧게 연마되는 것과 같이 측면 안내 중에 치아가 강한 측면 힘을 받는 것으로 추론할 수 있습니다. 이 힘이 계속되면서 작은 어금니 부위에도 깊은 균열이 발생했다. 이 정도까지 치아 사이의 간격이 벌어지면 치과에서 치료할 방법이 없기 때문에 발치 후 임플란트 치료를 권해드립니다. 발치 모습. 화살표가 가리키는 부분을 자세히 보면 치아의 머리 부분에서 시작하여 치근 깊숙이 뻗어나가는 크랙(균열)을 볼 수 있습니다. 입 안의 세균이 미세하게 새는 것은 균열선을 따라서만 진행될 수 있어 잇몸뼈가 재흡수되어 씹을 때 통증이 발생합니다. 임플란트 수술은 발치 당일에 시행하고 일정 기간 치유 후 작은 어금니 부위에 임플란트 크라운을 식립합니다. 이러한 현상을 가진 환자들은 이상한 점을 발견할 수 있는데, 반대측 치아에서도 비슷한 상황을 관찰하는 경우가 매우 흔하다. 반대쪽 소구치를 보면 잇몸뼈가 주변 치아와는 매우 다른 방식으로 흡수되는 것을 볼 수 있습니다. 이 치아 역시 치근 치료와 크라운 치료를 한 치아이기 때문에 치아의 치근쪽에 크랙이 나타난 것으로 의심됩니다. 문제 치아 옆의 작은 어금니도 균열이 의심되는 Q-선 형광 검사에서 관찰되었습니다. 금이 간 치아가 강하게 의심되었지만 어쨌든 심각한 치은 골 흡수가 관찰되었으므로 “진단”+ “치료”의 목적으로 치은 박리를 시행했습니다. (환자분들이 아프지 않을때까지 보관하라고 하셔서 알고 있습니다.) 이렇게 입에 금이 간 치아가 많은 분들은 예방적 크라운 치료를 권해드리고 있습니다. 크라운 치료는 앞니의 단점이 있지만 “치아 보호”가 최우선입니다. 위에서 언급한 2개의 치아 외에도 양쪽 소구치에 크랙이 관찰되어 더 진행하면 바로 발치할 수 있어 환자에게 크라운 치료를 알리고 진행하였다. 너무 늦기 전에… 깨진 치아를 무시하면 종종 손을 사용하지 않고 발치 및 임플란트 치료가 발생할 수 있습니다. https://blog.naver.com/sunnyflow/222413456775 치아가 깨지거나 부러져 부주의로 발치를 하게 된 사례 안녕하세요. L2치과의원장 최순하오 원장입니다. 최근 치과에 다녀온 환자에서… blog.naver.com 바로 씹어도 통증이 없어도… 상당한 크랙이 관찰된다면 예방적 크라운 치료를 고려해보시는 것을 강력히 추천드립니다:) 오늘의 기사가 도착합니다. 끝. 스마트폰에서 위 부분을 터치하시면 다이얼로 전환됩니다.서울시 강남구 봉은사로 469, S-TOWER L2, 4층 치과